
After the initial shock, it's normal to want to understand everything better. Thats where J&JwithMe is here to help. We’ve brought together crucial resources to help you feel empowered to ask the right questions to understand your disease, and then sharing what's really important to you: the desire for more time – more moments with loved ones, more milestones reached, more living.
Click the links to find out more:
Find out about the two major types of lung cancer, its symptoms, how common it is, the treatment plans and care options available.
Explore how to cope with a Lung Cancer diagnosis, helpful questions to ask your doctor, and how to talk to others about it.

Lung cancer is one of the most common types of cancer, especially among smokers. Tobacco use is the single biggest risk factor for lung cancer. Lung cancer risk is 15- to 30-fold higher in long-term smokers compared with those who have never smoked.2
That said, there are also other factors linked to lung cancer risk, including occupational exposure to heavy metals, gases and other materials such as asbestos; pollution; some medical treatments, cancer history, certain diseases or disorders; and genetics.3
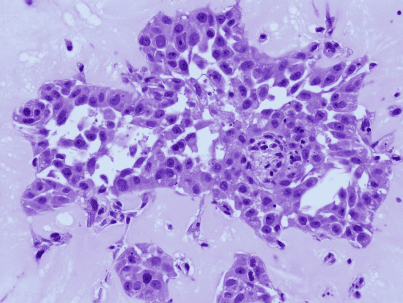
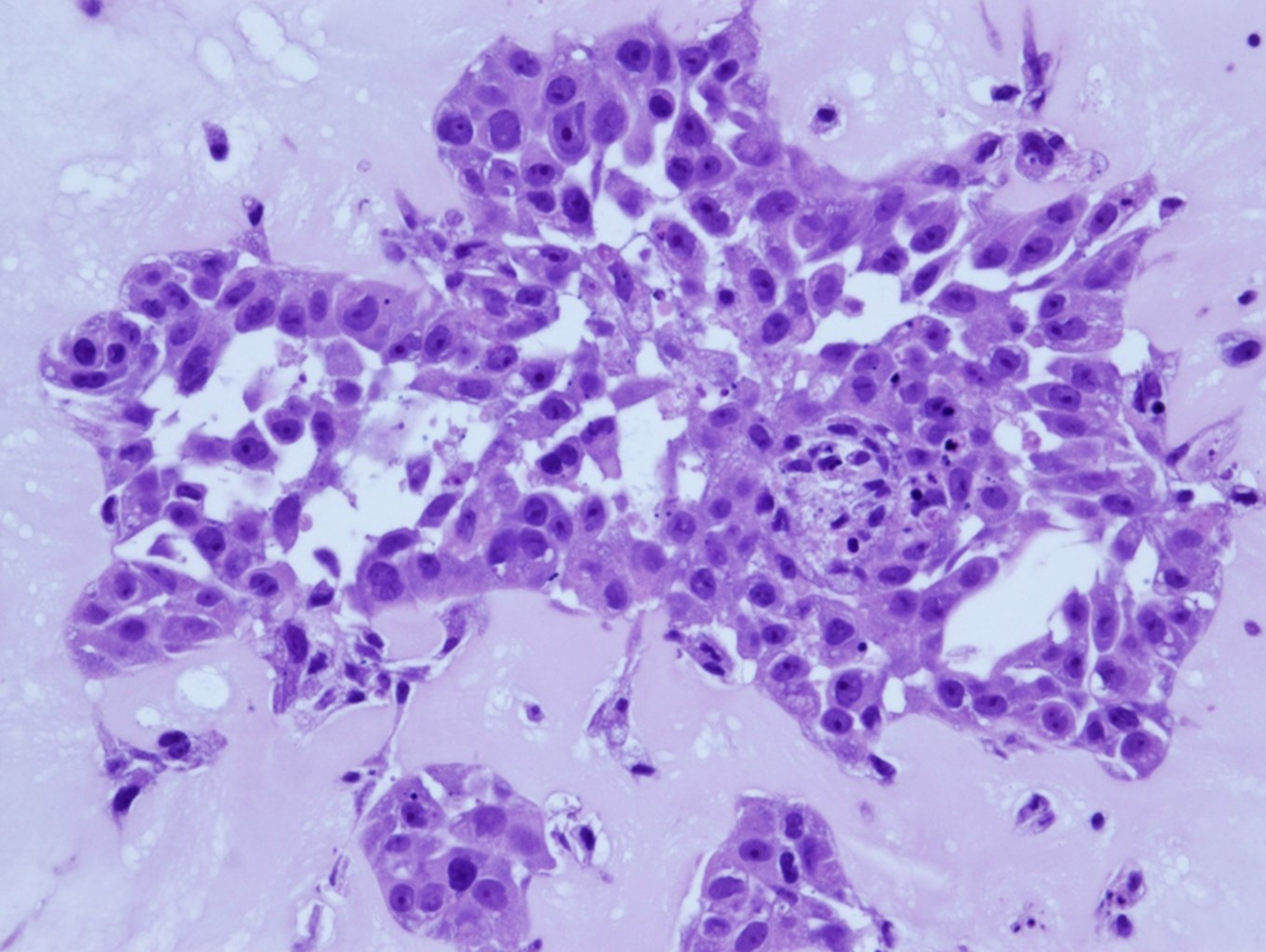
The cancer can start in the windpipe, main airways or lungs. It develops when there is an abnormal growth of cells in one or both lungs that can evolve into a tumour and spread to the lymph nodes or other organs in the body.4
There are two major types of lung cancer: 5
Small Cell Lung Cancer (SCLC) | Non-Small Cell Lung Cancer (NSCLC) |
A less common (10-15% of all lung cancers) but more aggressive form that grows and spreads fast. 6 | The most common form (80-85% of all lung cancers), but less aggressive than SCLC. 7 |
There are usually no symptoms in the early stages of lung cancer, 8 which makes it very difficult to self-detect the disease while it is small and hasn’t yet spread. This is problematic because an early diagnosis significantly increases the chances of the cancer being treated successfully. 8
Symptoms of lung cancer tend to appear only when the cancer is already at an advanced stage:
Since these signs can easily be mistaken for other conditions, such as a lung infection, a common cold or long-term effects from smoking, 11 you should see a doctor as soon as you experience any of these symptoms or any other changes in your health.
There is no simple test to determine whether you have lung cancer. Your doctor will first perform diagnostic tests, which may include an X-ray, computed tomography (CT) scan, lung function test and blood tests. 12 If your doctor suspects you may have lung cancer, further tests will be needed to confirm the diagnosis, usually in the form of a lung biopsy, or with other samples such as fluid from your lungs. 12
Once lung cancer is conclusively diagnosed, doctors will work out whether the cancer has spread with a CT, positron emission tomography (PET), magnetic resonance imaging (MRI) or bone scan. This will also help them to stage the lung cancer and form a prognosis.
The stages of lung cancer are: 13
Stages I and II: early stages | Stages III: locally advanced | Stages IV: advanced or metastatic |
The cancer is small and remains in the lungs. | The cancer has grown and may have spread to lymph nodes and surrounding tissue, but not to other organs. | The cancer has spread outside the lungs into other areas of the body. |
Lung cancer is one of the most common cancers. Every year, more than 2.5 million people are diagnosed, and Asia makes up 63% of all patients.1 As with many cancers, the cause is still unknown, but a number of factors can increase the risk of developing lung cancer.14
While non-smokers can also develop lung cancer, smoking is linked to more than 80% of cases. 15
Other risk factors include: 14
As with all cancers, a straightforward cure for lung cancer has not yet been found, though numerous trials are underway, hopeful of beating this life-altering disease.
To plan the best treatment, a team of health professionals will work together to determine the type, size and location, and stage of the cancer, as well as your overall health. 16 Based on that information, a treatment plan will be suggested.
The most common treatment options include: 16
Small-cell lung cancer is commonly treated with chemotherapy, sometimes in combination with radiotherapy, which can help to prolong and relieve symptoms. If the cancer has not spread, surgery may be considered as well. 16
While there is no sure way of preventing lung cancer, you can reduce your risk by taking certain actions. If you are a non-smoker, try to avoid second-hand smoke as much as possible. If you do smoke, it is strongly advised to quit. Quitting can reduce the risk of lung cancer by 40-70% 17, even if you have been smoking for years. Even cutting back 50% on the number of cigarettes smoked per day can reduce the risk of lung cancer significantly. 18
Speak to your doctor if you need any support quitting. Have the radon levels at your home checked, especially if you live in an area where radon levels are known to be high. Take all necessary precautions if you are exposed to toxic chemicals at work. Speak to your doctor for advice on how to protect yourself. 19
Finally, a balanced low-fat, high-fibre diet with plenty of fruit, vegetables, and whole grains, as well as regular exercise, can help reduce the risk of developing lung cancer and other types of cancer. 20
Coping with complex emotions such as shock, anxiety, anger, disbelief and dejection when diagnosed with lung cancer is normal. Lung cancer changes your life, regardless of the severity and outcome.
Lung cancer can take both a physical and emotional toll. Symptoms of lung cancer and the effects of its treatments, such as fatigue, pain and breathlessness, can severely impact your everyday life. 21 You might be unable to follow your daily routines, meet with friends or go to work. This, in turn, can affect your mental state. Cancer patients commonly pinpoint loss of independence, lifestyle and relationship changes, and job and financial worries as having emotional and mental consequences. 21 Feelings of sadness, loneliness and even depression are therefore not uncommon. 22
Be open about how you feel and how lung cancer is affecting your life. Talk to friends and family, or confide in your doctor who can advise you on patient support groups, trained counsellors and social services.
Self-care is also important. Eat well, keep active, get enough sleep and make time for the things you enjoy. It can also help to feel in control by learning about your cancer and its treatments, which can guide you in making decisions that are right for you.
Getting a lung cancer diagnosis can feel overwhelming.
After multiple tests, the confirmation is a huge shock. It’s natural to want to know more, but it’s easy to feel like you have to put your life on hold while you seek treatment. But in the midst of a diagnosis, there’s one voice that matters just as much, yours.
It’s a new way of thinking about lung cancer treatment, one that puts you at the centre. Full of practical advice about how to live with lung cancer, it’s designed to give you space to explore what you want. What feels right for your life, your family, your future.


